إجابة سريعة: هل يمكن أن تختفي البقع البيضاء على الأسنان؟
نعم — في كثير من الحالات يمكن تقليل ظهورها بشكل واضح أو تحسين شكلها تجميليًا. أفضل خيار يعتمد على السبب وعمق التغير داخل المينا. في الحالات المبكرة المرتبطة بـ نزع المعادن من المينا قد تساعد إعادة التمعدن والـ ICON (الارتشاح الراتنجي). أما في التغيرات الأقدم أو الأوضح فقد تُناقش خيارات مثل الميكروأبرايجن (Microabrasion)، التصحيح بالكومبوزيت أو الفينير في حالات مختارة.
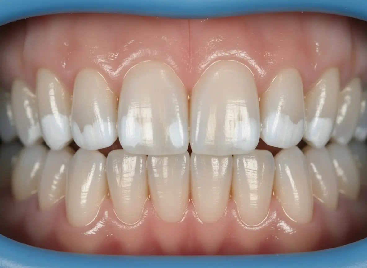
ما هي البقع البيضاء والتغيرات الفاتحة على المينا؟
هي مناطق تعكس فيها المينا الضوء بشكل مختلف، لذلك تبدو كأنها بقع بيضاء، مناطق طباشيرية، أو عتامات خفيفة على سطح السن. بعض هذه التغيرات تجميلي فقط، بينما يرتبط بعضها الآخر بتغير في تمعدن المينا أو بنيتها.
من أكثر الأنماط شيوعًا:
- آفات البقعة البيضاء (White spot lesion) المرتبطة بنزع المعادن من المينا — خصوصًا قرب اللثة أو بعد التقويم.
- الفلورة (Fluorosis) — خطوط أو بقع بيضاء منتشرة تظهر أثناء تشكّل الأسنان في الطفولة.
- نقص تمعدن المينا / عيوب نمو المينا — اختلافات في بنية المينا قد تكون موجودة منذ بزوغ السن.
- تأثير التباين بعد التبييض — تصبح الفروقات الموجودة مسبقًا أكثر وضوحًا بعد التفتيح.
الأسباب الأكثر شيوعًا للبقع البيضاء على الأسنان
فيما يلي الأسباب الأكثر شيوعًا بشكل عملي حتى تستطيع مقارنة ما تراه بالأعراض المحتملة.
1) نزع المعادن من المينا (سبب شائع جدًا)
هذا من أكثر الأسباب شيوعًا عندما تظهر بقعة بيضاء على السن. الأحماض الناتجة عن البلاك (وخاصة مع الأكل المتكرر والمشروبات السكرية أو الحمضية) تسحب المعادن تدريجيًا من المينا. في البداية قد يبقى السطح متماسكًا، لكن المينا تصبح أكثر مسامية وتبدو أكثر عتامة أو طباشيرية.
2) بقع بيضاء بعد التقويم (Braces / Aligners)
حول الحاصرات المعدنية وعند خط اللثة تتراكم اللويحة بسهولة أكبر. إذا كانت العناية الفموية صعبة خلال فترة التقويم، فقد تظهر مناطق طباشيرية في المينا. وهذا من أكثر السيناريوهات شيوعًا بعد العلاج التقويمي.
3) الفلورة (تحدث أثناء نمو الأسنان في الطفولة)
الفلورة ترتبط بتعرض زائد للفلورايد أثناء تشكّل المينا في الطفولة. غالبًا ما تظهر على شكل بقع أو خطوط بيضاء خفيفة على عدة أسنان. لا تعني بالضرورة وجود تسوس، لكنها قد تكون مزعجة من الناحية الجمالية.
4) نقص تمعدن المينا أو اضطرابات نمو المينا
لدى بعض الأشخاص تكون هناك مناطق في المينا ذات كثافة أو بنية مختلفة. قد تبدو هذه المناطق كأنها عتامات في المينا أو مناطق فاتحة ومطفية، وقد تكون موجودة منذ سنوات طويلة أو منذ بزوغ الأسنان الدائمة.
5) بعد تبييض الأسنان (تأثير التباين)
التبييض لا يُنشئ دائمًا مشكلة جديدة، لكنه قد يجعل الفروقات الموجودة سابقًا في المينا أوضح مؤقتًا، خصوصًا عندما تبدو المينا أكثر جفافًا لفترة قصيرة بعد التبييض.
6) “نقص الفيتامينات/المعادن” — لا تستعجل الاستنتاج
كثير من الناس يبحثون عن هذا السبب، لكن في الواقع يكون السبب غالبًا موضعيًا داخل المينا: نزع معادن، فلورة، أو عيب في المينا. تحديد السبب بدقة يحتاج فحصًا سريريًا وليس لون الصورة فقط.
بقع بيضاء على الأسنان: تسوس أم مجرد مشكلة تجميلية؟
لا يمكن الجزم 100% من دون فحص أسنان، لكن بعض العلامات تعطي مؤشرًا مفيدًا.
| ما الذي تلاحظه؟ | يوحي غالبًا بـ | ما الخطوة المناسبة؟ |
|---|---|---|
| منطقة مطفّية/طباشيرية قرب اللثة وقد تكون خشنة | نزع معادن / تسوس مبكر | فحص عند طبيب الأسنان + خطة مبكرة (إعادة تمعدن / ICON) |
| بقعة ثابتة منذ فترة طويلة وسطحها أملس | فلورة / نقص تمعدن / عيب في المينا | تقييم خيارات تجميلية إذا كانت مزعجة |
| أصبحت أوضح بعد التبييض | تأثير تباين أو فرق موجود مسبقًا في المينا | انتظار الاستقرار ثم تقييم الحاجة للتصحيح |
| حساسية/ألم/اسمرار/احتجاز للطعام | احتمال وجود عملية تسوس أكثر تقدمًا | لا تؤجّل زيارة طبيب الأسنان |
لماذا تظهر البقع البيضاء بعد التقويم كثيرًا؟
الأسئلة حول البقع البيضاء بعد التقويم شائعة جدًا — وهذا منطقي. تنظيف الأسنان حول الحاصرات وعند خط اللثة يكون أصعب، ومع تراكم البلاك تؤثر الأحماض على المينا وتظهر تغيرات طباشيرية (white spot lesions).
- تظهر كثيرًا على الأسنان الأمامية
- غالبًا تكون قريبة من اللثة
- قد تبدو كبقع سطحية لكنها في الحقيقة تغيرات في المينا
- التدخل المبكر يزيد فرص العلاج المحافظ
بقع أو مناطق فاتحة بعد التبييض: طبيعي أم يحتاج متابعة؟
بعد تبييض الأسنان يلاحظ بعض الأشخاص أن المناطق الفاتحة أو البيضاء أصبحت أكثر وضوحًا. يحدث هذا أحيانًا بشكل مؤقت لأن المينا قد تبدو أكثر جفافًا، فيزداد التباين لبضعة أيام.
إذا استمر الأمر، فقد تكون العلامات موجودة مسبقًا (مثل نزع المعادن أو الفلورة أو عيب بالمينا)، والتبييض فقط جعلها أوضح. لذلك يكون التسلسل الأفضل غالبًا: تشخيص السبب → اختيار الخطة → ثم أي تحسين تجميلي إذا لزم.
البقع البيضاء عند الأطفال والبالغين
عند الأطفال قد يكون السبب فلورة، نقص تمعدن، نزع معادن، أو عيوب تكوّن المينا. الأهم ليس لون البقعة فقط، بل ملمس السطح وخطر التسوس وعمر الطفل ومرحلة بزوغ الأسنان.
- بقع جديدة مطفية/طباشيرية/خشنة → تستحق تقييمًا أسرع
- بقع قديمة وثابتة → تميل أكثر لكونها تغيرًا نمائيًا في المينا
- يجب مراعاة عمر الطفل ومرحلة بزوغ الأسنان الدائمة
عند البالغين ترتبط هذه التغيرات أكثر بتاريخ تقويم الأسنان، العادات الغذائية، العناية الفموية، عيوب مينا سابقة، أو زيادة وضوح الفرق بعد التبييض.
“ظهرت فجأة” — هل هذا ممكن؟
قد يبدو الأمر كذلك، لكن غالبًا لا تتكوّن البقعة خلال يوم واحد حرفيًا؛ بل تصبح أكثر وضوحًا فجأة (مثلًا بعد التبييض، أو عند جفاف المينا، أو بسبب اختلاف الإضاءة، أو لأنك بدأت تلاحظها الآن).
الأفضل تقييم مكانها وملمسها وحساسيتها وتغيّرها مع الوقت، وليس اللون فقط في صورة واحدة.
كيف يمكن تقليل البقع البيضاء أو إخفاؤها؟ (الخيارات الأكثر استخدامًا)
العلاج يعتمد على السبب وعمق التغير والهدف (صحة المينا، الشكل الجمالي، أو كلاهما). غالبًا يكون الأفضل البدء بالحلول الأقل تدخّلًا ثم الانتقال لخيارات التجميل عند الحاجة.
1) إعادة التمعدن (في التغيرات المبكرة)
في المراحل المبكرة قد يساعد تحسين تنظيف الأسنان، تقليل تكرار السكريات والمشروبات الحمضية، والالتزام بروتين مناسب — مع وسائل مهنية داعمة لإعادة التمعدن حسب تقييم الطبيب.
2) الارتشاح الراتنجي (ICON)
خيار محافظ يمكن أن يقلّل ظهور المناطق الطباشيرية، خصوصًا إذا كان سطح المينا ما يزال سليمًا. يُناقش كثيرًا في الحالات التي تظهر بعد التقويم.
3) الميكروأبرايجن (Microabrasion) للحالات السطحية
في بعض الحالات السطحية يمكن أن يساعد تقليل الفارق اللوني عبر إزالة طبقة سطحية دقيقة جدًا من المينا. ليس كل نوع من البقع مناسبًا لهذا الخيار.
4) التبييض (كجزء من خطة وليس حلًا وحيدًا دائمًا)
التبييض لا يزيل كل البقع البيضاء تلقائيًا. أحيانًا يحسّن الشكل العام، وأحيانًا يزيد التباين مؤقتًا. لذلك من الأفضل معرفة السبب أولًا قبل اتخاذ القرار.
5) الكومبوزيت / البوندنج / الفينير (عند العيوب الأوضح أو الأعمق)
إذا كانت التغيرات أكثر وضوحًا أو مؤثرة تجميليًا بشكل كبير، يمكن مناقشة التصحيح بالكومبوزيت (Bonding) أو الفينير بحسب الحالة.
ماذا يمكنك أن تفعل في المنزل (من دون إضرار بالمينا)؟
- نظّف أسنانك مرتين يوميًا ونظّف ما بين الأسنان بانتظام
- قلّل تكرار الوجبات الخفيفة السكرية على مدار اليوم
- بعد المشروبات الحمضية اشطف بالماء ولا تفرك الأسنان مباشرة بعنف
- التزم بروتين ثابت بدل التبديل المستمر بين منتجات كثيرة
- تجنّب الوصفات المنزلية القاسية مثل الليمون، الفرك المبالغ، أو المواد الكاشطة القوية
إذا كنت تبحث عن “تقوية المينا” أو “إعادة بناء المينا”، فانتبه للوعود المبالغ فيها. بعض التغيرات المبكرة قد تتحسن، لكن كثيرًا من البقع البيضاء أو العتامات على المينا تحتاج تقييمًا سريريًا لتحديد الخيار المناسب.
الوقاية: كيف تقلّل احتمال ظهور بقع جديدة؟
- حافظ على روتين بسيط ومنتظم للعناية الفموية
- قلّل الرشفات المتكررة للمشروبات السكرية/الحمضية طوال اليوم
- افحص أسنانك دوريًا، خصوصًا بعد التقويم
- عند الأطفال: راقب كمية معجون الأسنان وساعدهم في التنظيف
- قبل التبييض: قيّم حالة المينا إذا كانت لديك بقع فاتحة أصلًا
متى يجب مراجعة طبيب الأسنان؟
يُنصح بحجز تقييم إذا انطبق واحد أو أكثر مما يلي:
- البقعة تكبر أو تصبح أوضح مع الوقت
- سطحها خشن أو طباشيري
- ظهرت حساسية أو ألم
- ظهرت بعد التقويم / التقويم الشفاف
- تريد خيارًا تجميليًا محددًا (ICON، ميكروأبرايجن، كومبوزيت)
إذا رغبت في تقييم أولي، يمكنك التواصل عبر صفحة التواصل / الحجز.
